CONTACT レッドダイヤモンドプロバイダーによる無料相談
他院で矯正に失敗した方・不可能と言われた方
当院にお任せください。
↑横にスクロールできます。
↑横にスクロールできます。
↑横にスクロールできます。
CONTACT レッドダイヤモンドプロバイダーによる無料相談
他院で矯正に失敗した方・不可能と言われた方
当院にお任せください。
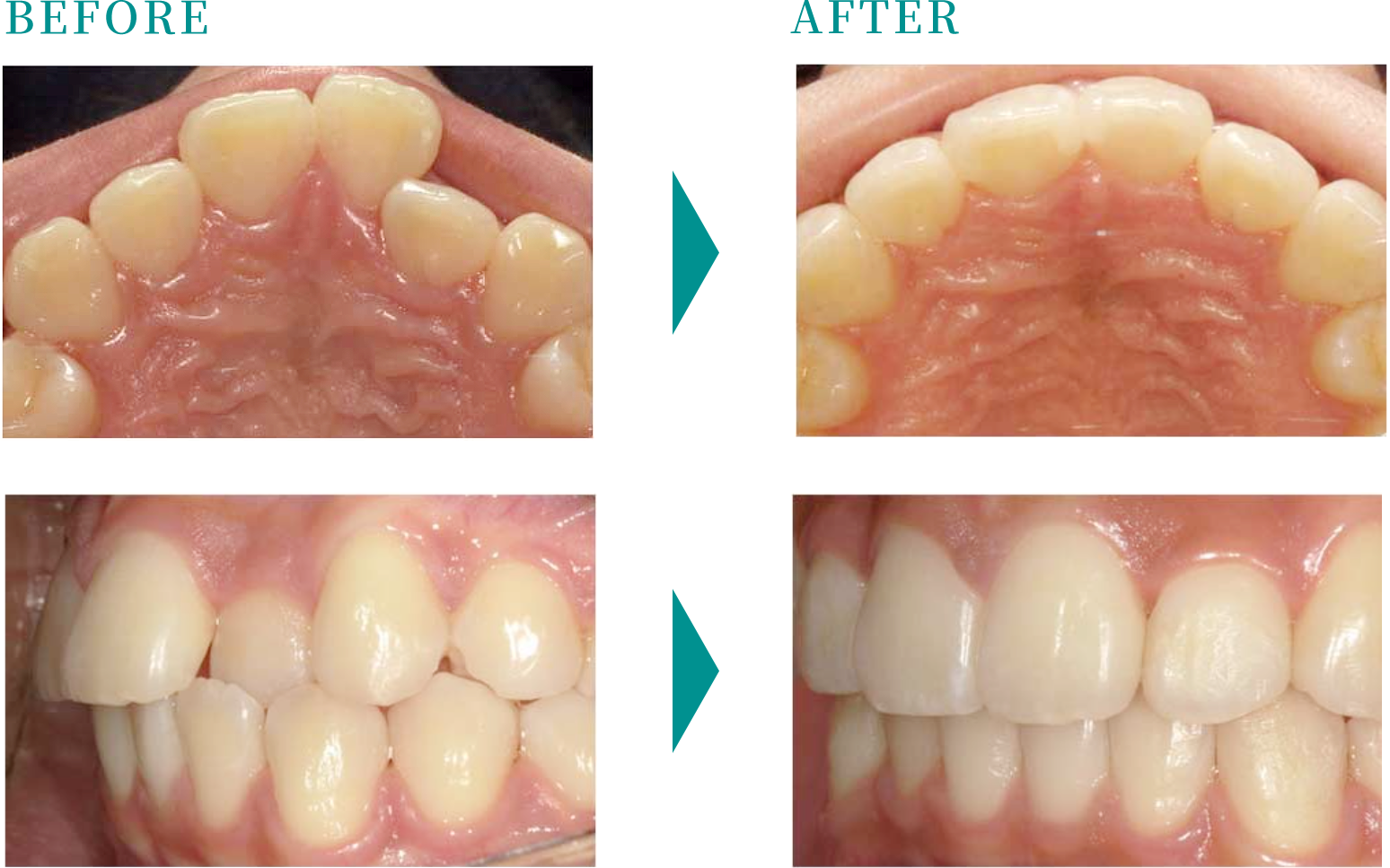
インビザラインフルのケースはすべて
CTシミュレーターを活用した治療を実施
COMPARISON
マウスピース矯正と他の治療の比較
↑横にスクロールできます。
CONTACT レッドダイヤモンドプロバイダーによる無料相談
他院で矯正に失敗した方・不可能と言われた方
当院にお任せください。
FLOW
矯正治療の流れ
無料相談
無料相談では、歯科医師によるカウンセリングを行っています。その後口腔内を確認し、口腔内スキャナー「iTero」による歯型の採取を行います。また、RAYFaceによるお顔の写真と口腔内写真を使用して3Dシミュレーションを行います。その他にも、無料相談では費用や治療期間、装置の説明、ご質問などにお応えしています。
精密検査
精密検査では、セファロ・歯科用CT(必要に応じて)によるレントゲン撮影、口腔内スキャナー「iTero」による歯型の採取、口腔内写真、顔貌写真、模型の作製など、矯正治療に必要なさまざまな検査を行います。
診断結果・治療方針のご案内
精密検査の結果を基に治療方針・計画を決定し、わかりやすく丁寧にご説明いたします。ご不明点などは遠慮なくお尋ねください。
治療開始
治療方針・計画にご納得いただけましたら矯正治療を開始します。数ヵ月に1回の定期検診では、マウスピース装置のお渡しや治療の進捗確認、むし歯のチェックなどを行います(期間は装置によって異なります)。
保定期間・経過観察
歯は、元の位置に戻ろうとする力があります。そのため、矯正治療後はリテーナーと呼ばれる後戻り防止装置を2年程度着用していただきます。
FEE
料金表※費用はすべて税抜きで掲載しております。
↑横にスクロールできます。
お支払方法
東京日本橋エムアンドアソシエイツ矯正歯科では、下記のお支払方法が可能です。
デンタルローンでのお支払いについて
矯正治療は他の治療と比較しても高額な治療費が必要となりますので、デンタルローンをご利用いただくことで患者様の金銭的負担も少なく安心して治療を受けていただくことが可能です。デンタルローンを使用した場合でも医療費控除の対象となりますので、詳しくはスタッフまでご相談ください。
マウスピース矯正(インビザラインフル)
5,000円で始められます
※550,000円のインビザラインライトを120回払いでお支払いただく場合の例です。
※初回のお支払いのみ10,560円となります。
医療費控除について
1年間(1月1日~12月31日)に10万円以上の医療費を支払った場合は、医療費控除によって一定の金額の所得控除を受けることができます。ご自身の支払いに限らず、生計を共にするご家族が支払った医療費も対象となります。詳しくは国税庁のホームページをご覧ください。
国税庁のホームページQ&A
よくあるご質問
Q1
出っ歯を治して横顔を綺麗なEラインにしたいです。
マウスピース型矯正装置で口元を引っ込めることは可能でしょうか。
東京日本橋エムアンドアソシエイツ矯正歯科では抜歯を伴うマウスピース型矯正装置による治療に対応しています。上顎前突(出っ歯)や下顎前突(受け口)を改善し、鼻の先と顎の先を結んだEラインをすっきりと整えたい方の治療法についてご説明いたします。
more
■ 抜歯のメリットとデメリットについて
上の前歯を後ろに下げる方法としては、大きく分けて次の3つが挙げられます。
①前歯だけを後ろに下げる方法
②非抜歯で奥歯から歯並び全体を後ろに下げる方法
③歯を抜いてできた隙間を利用して前歯を下げる方法
この中で、前歯が後ろに下がる量は③>②>①の順となります。
③の方法について、Eラインを整える上でポイントとなるのは「小臼歯の抜歯」です。
小臼歯(基本的に、前から数えて4番目の歯)を抜歯し、そのスペースを利用して前歯を後ろに移動させる方法がまず考えられる方法です。
マウスピース型矯正装置による矯正治療は抜歯のリスクが低い治療法であり、非抜歯やIPR(歯を少量削ってスペースを作り出すこと)などでも不正咬合を改善することが可能ですが、特に口元の突出感を改善されたい方の場合、抜歯を選択したほうが良いケースも考えられます。
これまで、一度は矯正治療を検討したものの「抜歯をするならマウスピース型矯正装置による治療だけでは難しい」「ワイヤーを併用する必要がある」と言われて治療を諦めた方もいらっしゃるかもしれません。
当院のマウスピース型矯正装置による治療では、抜歯が必要な症例についても全てマウスピースで対応させていただいております。
また抜歯を伴う場合、治療期間をご不安に感じる方もいらっしゃいますが、こちらもご安心ください。治療期間はマウスピースの枚数や歯の移動量によって決まるので、一概に抜歯をするから期間が長くなる、というわけではありません。期間についてもご説明させていただきますので、お気軽にご相談ください。
抜歯をして矯正を行うことで、口元を後方に引っ込め、横顔の印象を改善することができますが、抜歯をするかどうかお悩みの方も多いのではないでしょうか。
東京日本橋エムアンドアソシエイツ矯正歯科では、非抜歯の場合のシミュレーションもご提案させていただくことが可能ですので、安心してご相談ください。抜歯をした場合と非抜歯の場合で、最終的なゴールにどのくらい差があるかをコンピュータ上で比較していただき、ご検討いただければと思います。
当院ではカウンセリングを受け付けておりますので、お気軽にご相談ください。
Q2 現在50代です。長年歯並びに悩んできました。今からでも矯正治療は可能でしょうか?
矯正治療は年齢に関わらず、歯と歯茎の状態に問題が無ければ可能です。実際に、60代から矯正治療を始められた患者様もおられます。これまで、いろいろな理由から矯正を諦めてきた方も「マウスピース型矯正装置を使う矯正なら」と始められる方も多くいらっしゃいます。
マウスピース型矯正装置による矯正治療であれば、見た目も目立たず取り外しも可能です。通院頻度も通常2か月に1回程度と少なく、患者様にとって負担を抑えられるのが特徴です(治療開始当初や、途中で軌道修正が必要になった場合でも1ヶ月に1回程度です)。治療期間については、皆様に2年程度とお伝えしておりますが、マウスピースの枚数や、歯の移動量にによって異なりますので一つの目安としてお考えいただければと思います。
また矯正治療をすることで、歯並びが改善されることで、虫歯や歯周病、口臭といったリスクを下げることができます。また咬み合わせが悪く、一部の歯に負担がかかっているようなケースも改善を期待することができます。
これから先も、長くご自身の歯を長持ちさせるという意味でも、矯正はお勧めできる治療法です。
まずは、実際にお口の中を拝見して、歯や歯茎の健康状態を把握するところから始めていきます。東京日本橋エムアンドアソシエイツ矯正歯科では初診カウンセリングを受け付けておりますので、お気軽にご相談ください。
Q3 矯正治療では歯を削る場合があると聞きました。健康な歯を削るのは安全なのですか?
IPRの安全性についてご説明いたします。IPRはマウスピース型矯正装置を用いた矯正治療に限らず、従来の矯正治療でも一般的に行われてきた安全な処置ですが、東京日本橋エムアンドアソシエイツ矯正歯科では患者様のご希望に合わせて、IPRをしない治療計画をご提案することも可能です。
more
IPR(InterProximal Reduction)は、従来のワイヤー矯正でも用いられてきた方法でストリッピング、ディスキングとも呼ばれます。ワイヤー矯正には100年以上の歴史がありますから、その歴史の中でIPRについても数多くの研究が続けられてきたことがお分かりいただけるかと思います。
IPRの主な目的は歯を並べるためのすき間を作ることです。歯の両サイドを少量削る(やすりをかける)ことで歯の幅を小さくし、重なり合っている歯がきれいに並ぶためのスペースを確保します。
またその他の目的として、
・歯の大きさを調整し、バランスを整えること
・ブラックトライアングル(歯と歯の間の三角形のすき間)の解消
など、細部の調整に用いられることもあります。
IPRでは、むやみに歯を削っているわけではありません。歯の一番硬い部分である「エナメル質」のみを削っており、削れる歯の量もきちんと定められています(0.2mm~0.5mm程度)。歯のエナメル質が2~3mmと言われていますので、削る際に痛みを感じたり、IPRによって虫歯になりやすくなったりすることもありません。このことは、過去の研究結果でも報告されています。
■ IPRが必要な症例とは?程度によりますが、年齢が若い方であればIPRを行う場合でもその量を少なくできることが多いです。また成人~ご年配の方で、歯ぐきが下がっている方・被せ物が多く入っている方の場合、矯正治療によってで歯がきれいに並ぶとブラックトライアングル(歯と歯の間の三角形のすき間)が目立つように感じることがあります。そのようなケースでは、IPRを行った方がむしろ歯ぐきのすき間を減らし、仕上がりをよりきれいにすることができます。
■ 歯を削るのが心配、できるだけ削りたくないという方へ東京日本橋エムアンドアソシエイツ矯正歯科では、患者様のご希望に応じてIPRを行わない治療計画のご提案も可能です。その場合は、初診カウンセリングの際に担当医まで「歯を削りたくない」とお気軽にご相談ください。
- ・歯と歯の間の隙間を少し削ることで歯列を整えるための矯正治療の一手法です。
- ・IPR・ディスキングは矯正治療の一手法として行ないます。矯正治療は公的健康保険対象外の自費診療となり、保険診療よりも高額になります。
- ・歯の痛みや違和感を感じる場合があります。
- ・エナメル質は一度削ると再生しないため、必要以上のIPR・ディスキングは避ける必要があります。
- ・IPR・ディスキングを行った部分に、わずかな変色が見られることがあります。
- ・IPR・ディスキングを行っても、歯並びが再び乱れる可能性があります。
Q4
開咬についてです。過去に他院でワイヤー矯正をしたのですが治りませんでした。
マウスピース矯正で開咬は治りますか?
開咬(オープンバイト)は矯正治療の中でも難しく・後戻りをしやすい不正咬合であるとされていますが、マウスピース矯正は開咬の改善にも有効です。開咬の原因と、マウスピース矯正の特徴についてご説明します。
more
開咬とは、奥歯を咬み合わせたときに、前歯が噛んでいない状態の不正咬合を指します。
患者様自身の癖(無意識に舌を出してしまうなど)との関連性も強く影響しており、こうした外力や遺伝的な要因によって起きることがあります。
上下の前歯に隙間ができてしまうために、見た目の問題以外にも、
- 前歯で物を咬み切ることができない
- 口の中が乾燥しやすい(虫歯・歯周病のリスクが高まる)
開咬の治療には主に、
- ①奥歯の動き
- ②前歯の動き
ですから、このような2つの動きをコントロールすることで開咬を治療していく必要があり、その上でマウスピース型カスタムメイド矯正歯科装置(製品名インビザライン 完成物薬機法対象外)は次の理由で非常に優れています。
- マウスピースが奥歯の咬み合わせ面を覆うので、咬み合わせる力による圧下力(奥歯を沈み込ませる力)が働きます
- マウスピース型カスタムメイド矯正歯科装置(製品名インビザライン 完成物薬機法対象外)の特徴として、前歯を唇側ではなく舌側に傾斜させやすく、前歯を引っ込める動きを得意としています
過去に一度治療をされている方で、もしも歯並びの間にスペース(すき間)がある場合は比較的治りやすいケースが考えられます。これは、スペースを利用して前歯を内側へ入れることができるためです。
実際には、お口の中を直接拝見して、現在の歯並びや噛み合わせの状態を拝見した上でお話ができればと思います。東京日本橋エムアンドアソシエイツ矯正歯科では初診カウンセリングを受け付けておりますので、お気軽にご相談ください。
Q5
ガミースマイルはマウスピース型矯正装置で治りますか?
過蓋咬合も気になっています。
歯並びが原因によるガミースマイルは、矯正治療によって改善可能な場合があります。咬み合わせが深い過蓋咬合(ディープバイト)ですが、こちらももちろん、マウスピース型矯正装置による矯正治療で改善が可能な不正咬合です。
more
ガミースマイルは、笑ったときや話しているときに上の歯の歯茎が広範囲に露出する口元のことをいいます。歯茎が見える原因としては、歯茎、唇、骨格、口元に対する歯の大きさなど、様々なケースが考えられ、原因に応じて治療法を正しく選択する必要があります。
歯の位置が原因の場合、もちろん矯正治療が有効な場合があります。歯を移動させることで骨の厚みが変化いたしますので、ガミースマイルの程度によっては改善できるケースも実際にあります。ただし、骨格が原因の場合は外科手術との組み合わせが必要なケースもあります。
また、ガミースマイルの原因が、唇が上がりすぎることであれば、粘膜切除術といった外科処置で改善されるケースもありますし、歯肉が発達しすぎている場合にはレーザーによる歯肉切除を行うという選択があります。
ガミースマイルにお悩みの患者様の場合、今回のご相談のように咬み合わせに問題を抱えている場合も多く見受けられます。
過蓋咬合は、前から見たときに下の前歯が見えないような深い噛み合わせのことを言います。上下の顎の不調和、奥歯の咬み合わせの問題などが原因で、顎関節症の症状をお持ちの方も少なくありません。
マウスピース型カスタムメイド矯正歯科装置(製品名インビザライン 完成物薬機法対象外)は過蓋咬合の治療にも対応しています
マウスピース型カスタムメイド矯正歯科装置(製品名インビザライン 完成物薬機法対象外)には、症例に応じて様々なアタッチメント(補助装置)が用意されており、それらをカスタマイズすることができるのが特徴です。
過蓋咬合の治療に用いられるアタッチメントの一つに、マウスピースの舌側面に取り付ける専用のアタッチメントが開発されています。
これは、上顎のマウスピースの前歯の裏についた突起で、口を閉じたときに舌の前歯が当たり、奥歯が深く噛みこみすぎることを防ぐために用いられます。
マウスピース型カスタムメイド矯正歯科装置(製品名インビザライン 完成物薬機法対象外)では、患者様のお口の状況に合わせて、マウスピースとアタッチメントを組み合わせ、咬み合わせの改善がスムーズに進むように設計を行うことができます。
今回はガミースマイルについてご説明いたしました。小さなお子様の場合、永久歯が生える際に改善されるケースもまれにありますが、基本的に自然治癒はしないことが多いと考えられます。
まずは、矯正治療で改善が見込めるかどうか、一度ご相談にお越しいただければと思います。
Q6 40代で、奥歯にブリッジをしています。矯正治療はできますか?
基本的に、ブリッジの歯があっても矯正治療は可能です。ブリッジをそのままにして問題ないケースや、ブリッジのやり直しが必要なケース、またその他にもいくつかの例を挙げてご説明いたします。
Q7 歯が大きく気になっています。歯の縦幅を削ることは可能ですか?
前歯の縦幅を削って、歯の大きさを調整することは可能です。ただし、安全に削れる量には限界があり、またもし削るとしても矯正治療で歯並びを整えてからをお勧めしています。
Q8 光加速矯正装置の取り扱いはありますか?
矯正治療で使用される光加速矯正装置は、近赤外線のエネルギーを照射することで骨再生を促し、治療期間を短くする効果があります。東京日本橋エムアンドアソシエイツ矯正歯科では、患者様のうち光加速装置を使用されているのは全体の1割程度です。
今回はマウスピース矯正で光加速矯正装置を併用するメリット・デメリットと、治療期間を短くする方法についてご紹介します。
more
冒頭で、当グループの患者様のうち、光加速矯正装置を使用されているのは全体の1割以下であるとお伝えしました。その理由としては以下のようなものが挙げられます。
光加速矯正装置のメリットは、もちろん治療を早く進められることです。これは治療が問題なく進んでいるときには良いのですが、もしも治療中にズレが生じてしまったときにも早いスピードで進んでしまいます。
こうしたトラブルを見逃さないためにも、光加速矯正装置を使用する際には通常よりも通院頻度が多くなります。短いスパンで来院していただき、経過を観察していく必要があるためです。
もしもズレが生じてしまうと軌道修正をする必要があり、マウスピースの作り直しにも1ヶ月程度かかることになります。結果として、予定よりも通院回数も治療期間もかかってしまうという可能性も考えられます。
また、光加速矯正装置自体が故障することもあります。そうした場合には、ご使用いただけない期間も発生してしまいます。
こうしたことから、光加速矯正装置はメリットの反面、治療の途中で思わぬトラブルが起きる可能性があり治療のコントロールが難しくなってしまうといったデメリットが考えられます。
東京日本橋エムアンドアソシエイツ矯正歯科では、抜歯を伴う(移動量の多い)ケースにおいても、治療計画の設計を工夫することでマウスピースの枚数を少なく(=治療期間を短く)しています。
マウスピースの総数を少なく設計する代わりに、ズレが生まれないようにマウスピースは10日で交換していただくようお願いしています。そのため、光加速矯正装置を使用される患者様の場合でも短期間でマウスピースを交換することは推奨しておりません。
「急がば回れ」ではありませんが、1枚1枚のマウスピースをじっくり使用していただく方が、結果的に早く進むこともあります。どのような方法が患者様にとって一番良いのかは、患者様のご希望やお口の状況などを踏まえてご提案させていただきます。
光加速矯正装置は骨再生や歯周組織の回復を早めるという効果がありますが、歯肉退縮・ブラックトライアングルなどの最終的な仕上がりについては光加速矯正装置を使用したとしても差はないと言えます。
ただし、「予期せぬ移動(ズレの調整、軌道修正)」を防止することが何より重要ですので、東京日本橋エムアンドアソシエイツ矯正歯科では光加速矯正装置で治療期間を短くするというよりも、治療計画を工夫することで短い治療期間を実現しています。
治療期間が短く、ズレや微調整なども必要がなければ、体にとってのダメージも最小限で済みます。当院では、これこそが患者様にとっての適切な方法ではないかと考えています。
私たちは、患者様の時間を大切に治療を行っており、事前に治療期間やマウスピースの交換時期、通院回数なども具体的にお話をさせていただいております。
もちろん、患者様のご希望を伺ったうえで治療計画を提案させていただきます。
「遠方なので通院回数を少なくしたい」
あるいは
「治療期間をできるだけ短くしたい」
など、まずはカウンセリングでご希望をお聞かせください。カウンセリングは対面・またはビデオ通話「Zoom」でも受け付けております。
それでは、あなたからのご相談をお待ちしております。
Q9 抜歯にするか非抜歯にするか迷っています・・・
当院にご相談いただく患者様の中には、抜歯・非抜歯・またはIPR(歯を少量削る方法)のいずれの治療方法が良いか迷われている方が多くいらっしゃいます。
Q10 初診カウンセリングの持ち物は何が必要でしょうか?
保険証などご自身を証明できるものをお持ちください。
Q11 未成年ですが1人で受診できるでしょうか?
18歳以下の方は保護者の方と一緒にご来院くださることをおすすめします。
Q12 家族4人で伺っても大丈夫でしょうか?
もちろん大丈夫です。
お子さまの場合、祖父母の方と一緒に来院される方もいらっしゃいます。予約時に、人数をお伝えください。
Q13 私の歯並びは保険適応になるでしょうか?
保険適応で矯正治療を行う場合、病名は「顎変形症(顎変形症)」となります。顎変形症とは、顎の骨が上下で大きなずれがある、骨格が原因で顔の左右が非対称になるなど、かみ合わせが悪くなる不正咬合(ふせいこうごう)が起こる病気です。保険適応となる矯正治療の流れ・注意点をご紹介します。
CONTACT レッドダイヤモンドプロバイダーによる無料相談
他院で矯正に失敗した方・不可能と言われた方
当院にお任せください。
GREETING
ご挨拶
国立広島大学の歯学部を卒業後、日本矯正歯科学会の指導医として、愛知学院大学(愛知県)、朝日大学(岐阜県)で、矯正歯科治療を専門に行う歯科医師を目指す若手に対して、指導・育成と約15年間携わりました。
そして、現在、エムアンドアソシエイツ(M&Associates)グループで矯正歯科治療を行う傍ら、マウスピース型カスタムメイド矯正歯科装置(製品名インビザライン 完成物薬機法対象外)の講師として歯科医師向けに講義・講演活動をしています。
今から18年以上前、まだ日本にマウスピース矯正「インビザライン」が導入されはじめて間もない黎明期より、私はこの治療一筋に取り組んで参りました。
昨今ではマウスピース矯正を取り扱うクリニックも急激に増えてまいりましたが、マウスピース矯正の誕生から現在まで、その過程と治療の特性を熟知しているドクターは日本国内にも数えるほどしかいません。
私のキャリアの全てをかけて、あなたにマウスピース矯正治療をご提供します。
GROUP
エムアンドアソシエイツ(M & Associates)グループについて
当グループは全国(東京、大阪、名古屋、札幌、福岡)に分院を持つ、マウスピース型矯正装置による矯正治療専門のクリニックです。
マウスピース型矯正装置による矯正治療を行なっている⻭科医院は、当院以外にも全国に約5,000医院ほど存在しており、昨今ではマウスピース型矯正装置による矯正治療を取り扱うクリニックが急激に増えてまいりました。
当グループ代表・増岡は、今から18年以上前、まだ日本にマウスピース型矯正装置が導入されはじめて間もないころから、興味を持って治療に取り入れてまいりました。
私たち「エムアンドアソシエイツグループ」は、次の7つの安心で患者様にマウスピース型矯正装置による矯正治療をご提供いたします。
マウスピース型矯正装置を使用した矯正治療で最も重要といえるのは治療計画(シミュレーション)の作成です。
矯正治療は単に歯並びだけを見れば良いわけではありません。顎骨や歯根、最終的な見た目の美しさまでトータルで考えなければ、治療後の不具合を生じるリスクが高まります。
例えば「見た目は良いけど噛めなくなってしまった」「歯ぐきが下がってしまった」「すぐに歯並びが戻ってしまった」といったトラブルを避けるために、患者様にとって最適な治療計画を立てる必要があります。
当院では歯科用CT、セファロ、光学スキャナーに加え、歯根の情報まで含めて総合的にデータ解析を行い、患者様の体にとってダメージが少なく・機能的で・何より美しい口元のバランスを追求しています。
もちろん、患者様にも仕上がりをイメージしていただきやすいように、3Dデータや症例写真を用いて仕上がりイメージのご説明をさせていただき、必ずご納得いただいた上で治療を進めております。
当グループは日本全国5都市に展開しており、全ての医院が駅直結でアクセス良好です。
東京医院(日本橋駅徒歩5分・三越前駅徒歩3分)、大阪医院(心斎橋駅徒歩5分)、名古屋医院(名古屋駅&国際センター駅直結徒歩2分)、札幌医院(札幌駅直結徒歩2分)、福岡医院(赤坂駅徒歩1分、天神駅徒歩9分)と通いやすい立地です。
また、土曜も診療、平日は19時まで診療していますので、働いている方でも通院に便利です。
【転勤・引っ越しも安心】
矯正治療は、最短でも半年、平均すると1年半~2年半の治療期間となります。当グループは全国に展開していますので、転勤や進学による転居の場合、グループ内で治療を引き継ぐことが可能です。
当院では担当医制ですので、全国にあるグループ院(東京、札幌、名古屋、大阪、福岡)でしたら、どの医院をお選びいただいても同じ担当医が治療をさせていただきます。
担当医が治療のスタートからゴールまで責任をもって担当させていただくことができ、もしも治療中に転勤やお引越しなどがあった場合も、担当医を変えることなく治療を継続していただけます。
担当医のご希望がございましたら、お気軽にスタッフまでお申し付けください。
【注意:ネットからご予約される方へ】
ネット予約の画面では、担当医をご選択いただくことができません。
もしもご希望の担当医がいらっしゃる場合には、お手数ですがお電話またはLINE・メールにてご予約いただきますようお願いいたします。
「矯正治療は高額で手が届かない」とお考えの方も多いのではないでしょうか?
私たちはこれまで、矯正治療を通じて多くの患者様の「笑顔に自信が持てるようになった」「人生が変わった!」という喜びの瞬間に立ち会ってまいりました。また、その逆で、かつて受けた矯正治療で「不具合」を生じ、当院にご相談に来院される患者様も毎月いらっしゃいます。
当グループでは、患者様に良質な治療を受けていただけるようにグループ医院ならではの「患者様の負担を抑えられる料金プラン」で治療をご提供します。また、治療費の頭金を抑えたプラン、金利を抑えた分割プランなどの様々な支払い方法もご用意しています。
全ての患者様に初診カウンセリングを行っています。現在のお悩みや歯並びのご要望を伺いながら、必要な処置や治療の流れについてお話をさせていただきます。
矯正治療がスタートすると長いお付き合いになります。ですから、治療のクオリティだけでなく、患者様が心から信頼できる・心地よい医院であることもとても大切なことだと考えています。初診カウンセリングは、私たちが治療のご相談にお応えするだけでなく、患者様に「安心して通えるクリニックかどうか?」を確かめていただくために実施しています。
全ての患者様に初診カウンセリングを行っています。現在のお悩みや歯並びのご要望を伺いながら、必要な処置や治療の流れについてお話をさせていただきます。
矯正治療がスタートすると長いお付き合いになります。ですから、治療のクオリティだけでなく、患者様が心から信頼できる・心地よい医院であることもとても大切なことだと考えています。初診カウンセリングは、私たちが治療のご相談にお応えするだけでなく、患者様に「安心して通えるクリニックかどうか?」を確かめていただくために実施しています。
もしも治療の途中に、やむを得ない事情で矯正治療を中断することになった場合、治療の進行度合いによって未治療分の費用を返金しております。返金額の算出は、日本矯正歯科学会のガイドラインに沿って行います。
また、グループ内の転院にも対応しておりますので、引っ越し先に当グループの医院があれば、そちらで継続して治療を受けていただくことができます。
返金保証が適応されるケースは、医師の指示の元、きちんと通院していただいた方に限ります。まれに、装置使用の不備、度重なる予約のキャンセルや患者様の都合による長期未来院が続いている方がいらっしゃいますが、そのような特殊な場合は対象外となりますのでご注意ください。
医療費控除とは、1年間に支払った医療費を確定申告時に申請することで、所得控除を受けることができる制度です。当グループでは、医療費控除の申請に必要な書類作成を行っておりますので、お気軽にお申し付けください。
当グループは全国主要都市に展開しており、どの医院も駅直結で徒歩数分の立地にあります。
平日は19時まで診療、土曜日も診療していますので、働いている方にも通院に便利です。
GALLERY
院内紹介CONTACT レッドダイヤモンドプロバイダーによる無料相談
他院で矯正に失敗した方・不可能と言われた方
当院にお任せください。







